«Llega la inmunoterapia personalizada para el cáncer de mama metastásico«, buenas noticias que dan luz al difícil camino que recorren las pacientes y los familiares de cáncer de mama metastásico.
Asociaciones como la nuestra hacen que la ciencia pueda seguir investigando el cáncer de mama, y paso a paso vamos acercándonos a nuevos tratamientos que abren puertas de esperanza y dan fuerza a todas las personas que están luchando contra el cáncer de mama.
Estamos orgullosas de poder apoyar a la ciencia a través de acciones voluntarias, de nuestros socios y socias, y de la visibilización de esta realidad.
Si aún no lo has hecho, únete a nuestra causa, porque juntas hacemos más. Ponte en contacto y te explicaremos cómo sumarte. ¡Gracias por tu apoyo!

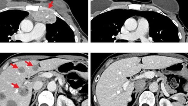
Después de recibir la inmunoterapia, los tumores se redujeron por completo y 5 años después los escaneos muestra que está libre de cáncer.